はじめまして。
4月に着任しました長井です。
本学では「基礎栄養学」と「食品衛生学」を担当しております。
写真映えのする(?)実験・実習の担当は後期になりますので、今回は自己紹介がてら、私の研究紹介をちょこっとだけしますね。
4月に来ましたので、寂しいことに今年はゼミ生はおりません。という訳で、タイトルは「立ち上げ中」になっております。がっ、前任地より院生が一人付いて来てくれていますので、一人ぼっちじゃないです。寂しくないです。いや、孤独を愛するという面も無くはないのですが・・・
私の研究は「食べ物で頭の病気を予防できるか?」というような感じです。頭の病気の対象は、アルツハイマー病のような認知症や、自閉症などです。まあ、難しい話はここでは書きませんが、高校訪問の模擬授業や、公開講座なんかでは、研究内容とのからみで「遺伝か環境か?」という話や「食べ物でボケは防げるか?」みたいな話をすることもあります。大した話ではありませんが、聞きたい方はご相談下さい。
そのようなことを目指した研究を日々行っているところです。その関係で、共同研究を行っている食品企業の研究所の中とかを見せてもらうことも出来ます。もちろん学生同伴可であります。そこそこ以上に大きな企業の研究開発職のちょっと偉い立場の人に、通常の社会見学で行くよりも裏話的な話を聞けたりすることもあるかもしれません。大抵の場合はその企業の商品の味見付きです。後は、そういう企業のちょっと偉い人に顔を覚えてもらうと就活の時に役に立つ・・・かどうかは私は分かりません。
横道にそれましたが、そんな研究を本学から世界に注目されるようなものを達成しようと、ごくごく小さな野望を抱いております。今、貧乏を極めているなけなしの研究費の中から、少しずつ研究室を立ち上げ中な感じです。
いくつかGET!した自分用の機器を紹介しますと・・・

クリーンベンチや細胞培養用のインキュベーター

細胞を分析する機器類やオートクレーブ(滅菌器)などなどを隠し持ってます。(もうちょっと色々持ってます)
こういうのを使って・・・

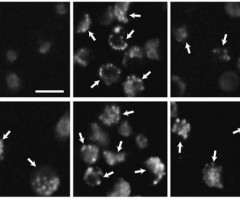
2016年に日本人がノーベル賞をとった(私じゃないです念の為)オートファジーの写真を撮ったり、核とかミトコンドリアの写真を撮ったりしています。
後は、食品会社から頂いたとある食べ物の成分が・・・

アルツハイマー病の患者さんの脳内に出来る老人斑を出来にくくするみたいな実験をやったりしています。
その他、ある食品成分がミトコンドリアを増やして頭の細胞を若返らせるみたいなデータもとりつつあるのですが、それは今はナイショということで・・・
そんな感じで、来年度は誰かやってみたいっていう人が来てくれたらいいな~っと思っております。
前任地では1年生の実験も担当があったので、誘ったら2年生から自主的に実験に来る学生が数人いたんですけど、本学ではどうでしょう?
後期は実験があるので、雰囲気をみて声をかけてみるか考えます。
4年生は国試があるので難しいとは思いますが、早めに実験をはじめて上手くいくと・・・

私、何を隠そう北米神経科学会の会員なので、3年生ぐらいの時にアメリカ行けちゃうかもしれませんよ。
う~ん・・・3年生になってから始めると現実的には3年生で行くのはちょっと厳しいかも・・・
ちなみに、今年はカリフォルニアはサンディエゴで年会が開催されます。
高校生の方はまだ想像も出来ないかもですが、大学生が学会発表するなんてことは世の中的には普通にあるので、興味があるなら、大学入学後に、先生が受け入れ可なら、早めに実験してみたいって言いに行けば喜ばれることもあるかもしれませんよ。